Updated Classification of Pediatric Hepatic Vascular Tumors
Research By: Lara Berklite, MD | Sarangarajan Ranganathan, MD
Post Date: November 3, 2023 | Publish Date: November 2023
Pathology | Top Scientific Achievement
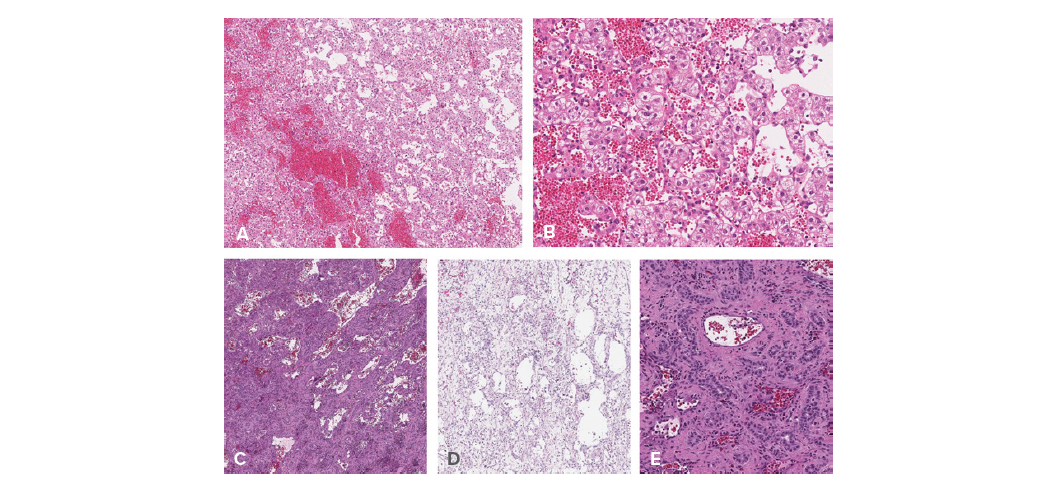
Pediatric hepatic vascular tumors (HVTs) are rare neoplasms with features distinct from their cutaneous counterparts. Their behavior ranges from benign to malignant, with each subtype having therapeutic differences.
However, in part because of their rarity, the nomenclature for describing pediatric HVTs has been muddied by indiscriminate use of the term hemangioma, which has been applied to vascular anomalies, malformations and neoplasms. Now, a review published by pathology experts at Cincinnati Children’s may help clarify the diagnostic criteria.
“To our knowledge, this is the largest series of pediatric hepatic vascular tumors assembled for review to date. This contemporary analysis is performed using updated classification criteria set by the most recent WHO blue book on pediatric neoplasms,” says first author Lara Berklite, MD.
The review re-examined 33 cases from 1970 to 2021 that had been considered pediatric HVTs. The team eliminated six cases; including five vascular malformations and a vascular-dominant mesenchymal hamartoma. Findings related to the remaining 27 cases included:
- Hepatic congenital hemangiomas present at birth are usually solitary and often involute.
- Hepatic infantile hemangiomas may be single, multifocal or diffuse and express GLUT-1.
- Mesenchymal hamartomas and vascular malformations can mimic vascular neoplasms.
- Hepatic angiosarcomas are rare but can arise in infantile hemangiomas.
The researchers also propose creating an intermediate category between infantile hemangioma and angiosarcoma.
“Our hope is that our review of HVTs will provide clarity for the practicing pathologist regarding these diagnostically challenging lesions,” says co-corresponding author Sarangarajan Ranganathan, MD.
Co-authors from Cincinnati Children’s and the University of Cincinnati also included Faizan Malik, MD, and Anita Gupta, MD.
Explore the 2024 Research Annual Report
| Original title: | Pediatric hepatic vascular tumors: clinicopathologic characteristics of 33 cases and proposed updates to current classification schemes |
| Published in: | Human Pathology |
| Publish date: | November 2023 |






